热烈祝贺微尔美微创修复培训会议-中山站取得圆满成功
因微创修复的理念在国外已然非常成熟,在日本基本上都是用嵌体取代补牙修复,微整形、微手术、微种植在国内也受到消费者的高度认同。在修复方面为了能让我们新致美的医生朋友们能更加熟练与专业的开展微创修复,也为了感恩各位医生朋友们的信任与支持,特安排此次“微尔美微创修复培训交流会议”,此次会议取得圆满成功,感谢各位医生朋友的信任与支持!
会场准备
入场签到
市场部总监刘倍余致辞开场
微尔美 王丽霞老师
王丽霞老师就微尔美贴面适应症,牙体预备等方面进行案例分析
医生们认真记录课程内容
中场休息医生和业务交流微创修复市场发展趋势
王老师分享瓷贴面粘接流程
中山子公司技术总监苏威协助分享瓷贴面粘接流程
市场部总监刘倍余作总结发言
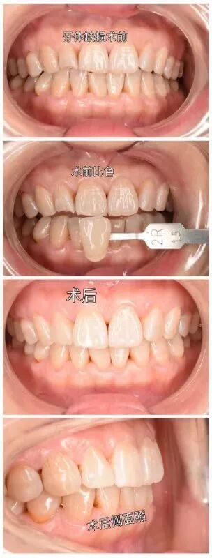
微尔美微创修复案例分享 微尔美,为美丽而生! 微尔美中山站圆满结束,感谢各位医生朋友一直以来的信任和支持! 因齿而聚,因齿相识,因齿相知,因齿而相交! 新致美秉承合作共赢的理念,在牙路上,我们不忘初心,筑梦前行,与我们的医生朋友们,一起为人类口腔健康做贡献。 让我们一起在牙路上再创辉煌,更上一层楼!


400-0503-555
公司新闻
您的当前位置: 





