案例分享 | 微尔美瓷贴面
谁都想拥有一口洁白的牙齿,随时随地都能展开健康的笑容。然而不少人都因牙齿排列不齐、染色、缺损等原因,即便是在开心一刻,在人前都不敢开怀大笑。随着医疗技术的进步,许多牙齿修复的方法也如雨后春笋般出现了,牙齿贴面是一种痛苦小、效果好、经济又实惠的的牙齿美容方法。
微尔美瓷贴面
采用全新高科技生物材料,强度最高达400Mpa
具有显著的透明性能,极佳的美学及光学效果,最薄可至0.3mm,精准密贴
极大限度的保护了牙体组织,不会刺激牙龈,保护天然牙的长期健康
无口腔异物感,触觉自然,舒适
微尔美品牌工作室一站式质控、VIP私属量身定制
质保五年
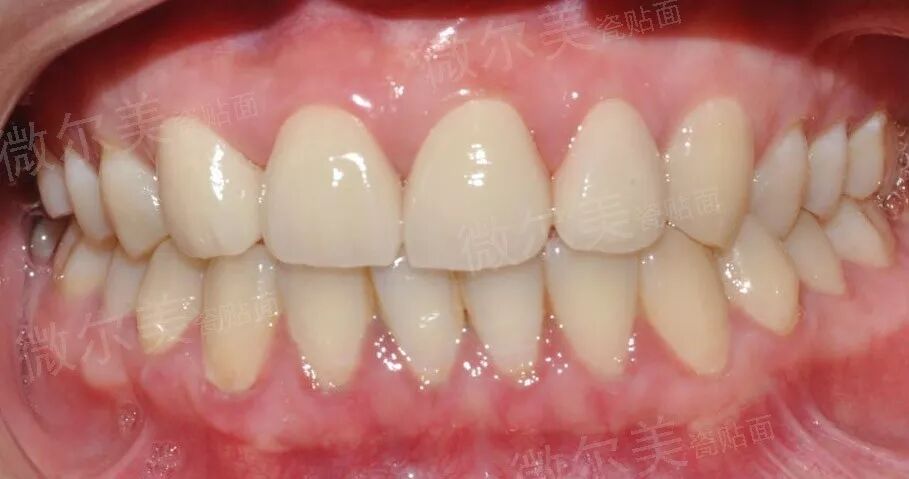
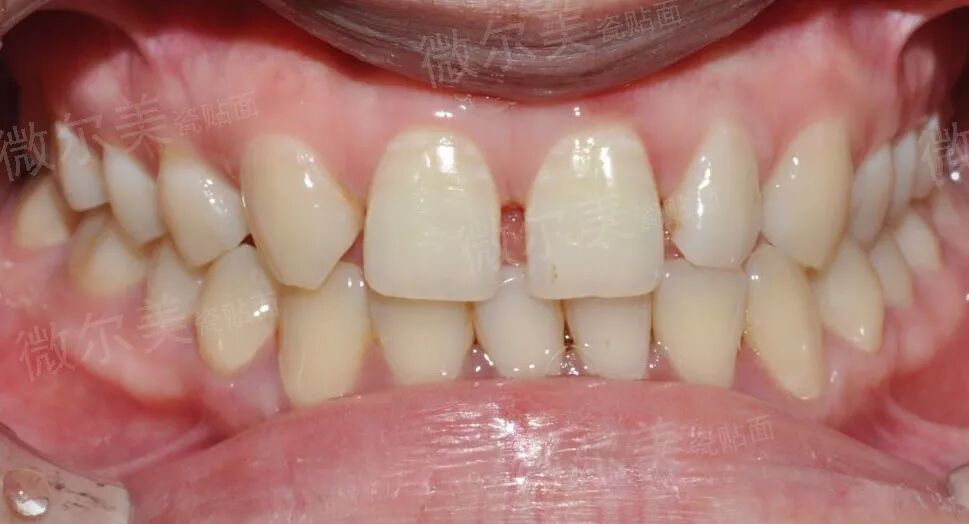
案例一
案例二
美牙前
美牙后
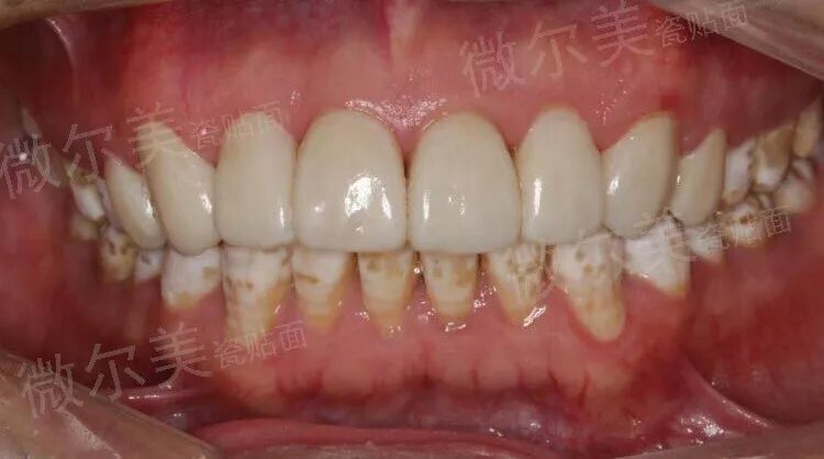
案例三
美牙前
美牙后
美丽从贴开始!
口腔知识 | 临床病例 | 技术培训 | 产品理念


400-0503-555
知识分享
您的当前位置: 





